м. Свиблово, ул.Снежная, д.27, к.1

с 9:00 до 21:00 (без выходных)

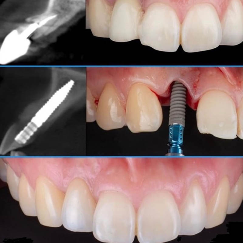
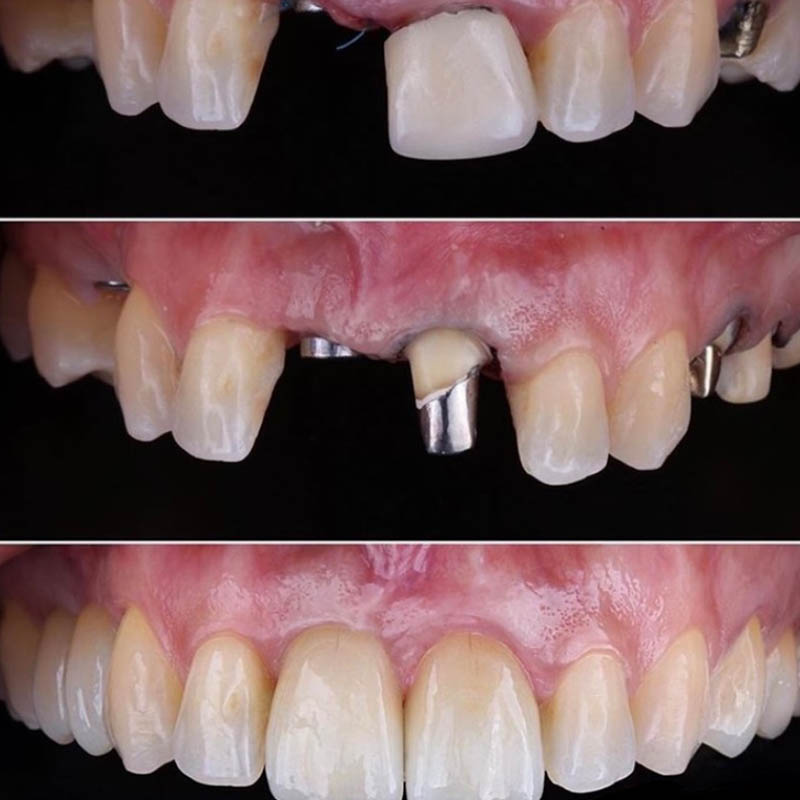
На современном этапе достичь нужного результата стоматологического лечения нередко удается только путем дентальной имплантации. Специалисты клиники Совершенная улыбка тоже активно используют данную методику. При этом в своей деятельности они располагают всеми предпосылками для проведения как быстрой имплантации, когда все действия врач завершает в течение одного посещения, так и операции по классической методике, которой предшествует целый ряд подготовительных процедур, костная пластика.

Успех имплантации в клинике обеспечивается не только мастерством специалистов, высоким уровнем диагностических мероприятий, но использованием качественных материалов, отлично зарекомендовавших себя в сложных клинических случаях или при недостаточной плотности костной ткани. В совокупности такие предпосылки позволяют сократить противопоказания к проведению операции, получить отличные отдаленные результаты. При этом, стремясь обеспечить каждого пациента самым эффективным результатом ортопедического лечения, что гарантирует имплантация, наши специалисты имеют возможность проводить ее моделями разных ценовых категорий. Столь привлекательные финансовые условия позволяют воспользоваться данной методикой людям с любым уровнем доходов.

ИМПЛАНТАЦИЯ ЗУБОВ

ИМПЛАНТАЦИЯ ЗУБОВ

СТОИМОСТЬ ЛЕЧЕНИЯ

СТОИМОСТЬ ЛЕЧЕНИЯ
от 28000 руб.
Имплантация зубов
от 28000 руб.

Примеры работ

Примеры работ

ВРАЧИ

ВРАЧИ
Хирург-имплантолог
Фарзалиев Эрик Олегович
Дипломы и сертификаты
Кандидат Медицинских Наук, Хирург-имплантолог