м. Свиблово, ул.Снежная, д.27, к.1

с 9:00 до 21:00 (без выходных)

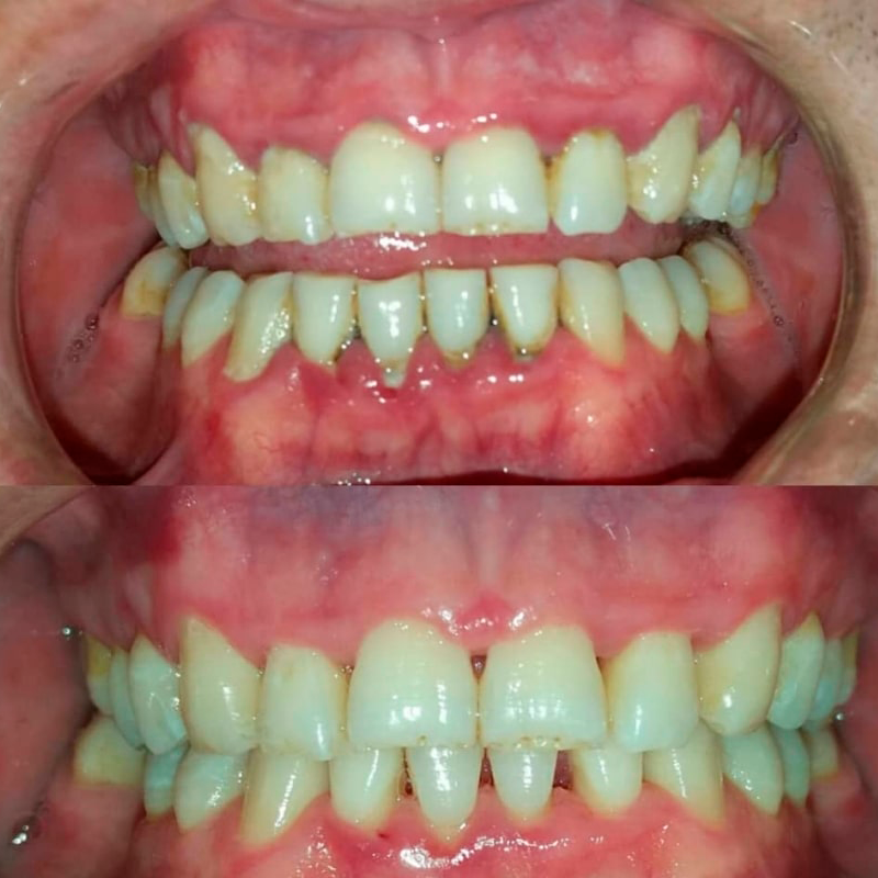
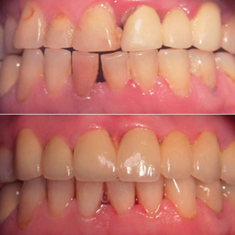
Поскольку в мире отмечается неуклонный рост случаев заболеваний, характеризующихся поражением тканей пародонта, специалисты клиники Совершенная улыбка упорно работают по их профилактике, раннему выявлению, лечению. Учитывая сложность диагностики данного вида поражения, проблемами гингивита, пародонтита, пародонтоза в центре занимаются врачи высочайшей квалификации, имеющие большой опыт применения самых разных способов воздействия. За основу пародонтологами берется комплексный подход.

Отдавая предпочтение терапевтическим методикам, ультразвуковому воздействию, местному применению лекарственных средств, промыванию пародонтальных карманов, специалисты готовы применить и хирургическую тактику. Такие мероприятия, как открытый и закрытый кюретаж, лоскутные операции, аутотрансплантация также находятся в их компетенции. Следствием высокого профессионализма, комплексного подхода является эффективность проводимого лечения, восстановление пораженных тканей, стабилизация процесса. Деятельность специалистов позволяет предупредить утерю зуба.

ЛЕЧЕНИЕ ДЕСЕН

ЛЕЧЕНИЕ ДЕСЕН

СТОИМОСТЬ ЛЕЧЕНИЯ

СТОИМОСТЬ ЛЕЧЕНИЯ
от 700 руб.
от 700 руб.
Лечение десен

ПРИМЕРЫ РАБОТ

ПРИМЕРЫ РАБОТ