м. Свиблово, ул.Снежная, д.27, к.1

с 9:00 до 21:00 (без выходных)

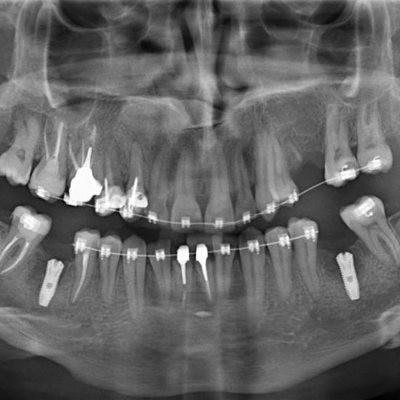
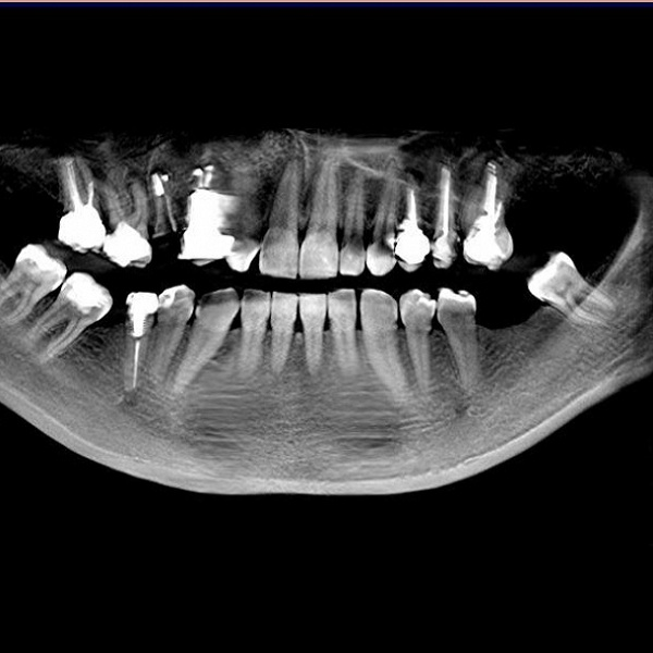
Такое исследование позволяет определить проблемы не только 2−3 соседних зубов, но и диагностировать состояние всей зубочелюстной системы и прилегающих структур, выявить на ранней стадии кисты, гранулемы, опухоли. Благодаря возможностям панорамного снимка удается более четко определить пораженный зуб, обнаружить различные аномалии развития, уточнить оптимальное место для вживления импланта, максимально качественным образом провести ортодонтическое и пародонтологическое лечение.

Несмотря на то, что прицельный снимок зубов по-прежнему широко используется в стоматологии, все более значимую роль играют и другие виды диагностики. Чтобы добиться максимально качественного результата лечения зубов, специалисты клиники Совершенная улыбка активно обращаются к ортопантомограмме

Панорамный снимок становится все более востребованным в качестве скрининговой методики. Высокая скорость проведения исследования, использование современного оборудования позволяют считать такой вид диагностики абсолютно безопасным. Она может проводиться по мере необходимости, несколько раз в году.

Панорамный снимок 3Д

Панорамный снимок 3Д

СТОИМОСТЬ ЛЕЧЕНИЯ

СТОИМОСТЬ ЛЕЧЕНИЯ
Панорамный снимок 3Д
от 1000 руб.
от 1000 руб.

ПРИМЕРЫ РАБОТ

ПРИМЕРЫ РАБОТ