м. Свиблово, ул.Снежная, д.27, к.1

с 9:00 до 21:00 (без выходных)

Аномалия прикуса является не только эстетическим дефектом. Она может существенно ухудшить состояние полости рта, привести к соматическим расстройствам, повлиять на эмоциональную сферу жизни человека. Успехи врачей-ортодонтов клиники Совершенная улыбка, которые занимаются решением данных проблем, бесспорны. Раннее обращение к ортодонтическому лечению позволит обеспечить более быстрый и доступный результат. Однако устранением нарушений можно заниматься не только на этапе молочных зубов, но и в любом другом возрасте. Специалисты центра готовы решить проблему у молодых, зрелых и даже пожилых людей.

Благодаря разнообразию ортодонтических аппаратов удается выбрать для коррекции тот из них, что учитывает не только клинические особенности, но и пожелания пациента, финансовые возможности. Альтернативой металлическим брекетам могут стать эстетичные модели из керамики. Ответственно и грамотно подходя к реализации поставленных задач, в своей деятельности ортодонты используют методики, позволяющие осуществить коррекцию прикуса не только эффективно, но и незаметно для окружающих. Наиболее взыскательные пациенты имеют все шансы воспользоваться прозрачными капами, изготовленными в соответствии с индивидуальными параметрами зубного ряда.

ИСПАВЛЕНИЕ ПРИКУСА

ИСПАВЛЕНИЕ ПРИКУСА
СТОИМОСТЬ ЛЕЧЕНИЯ
СТОИМОСТЬ ЛЕЧЕНИЯ
от 30000 руб.
от 30000 руб.
Исправление прикуса

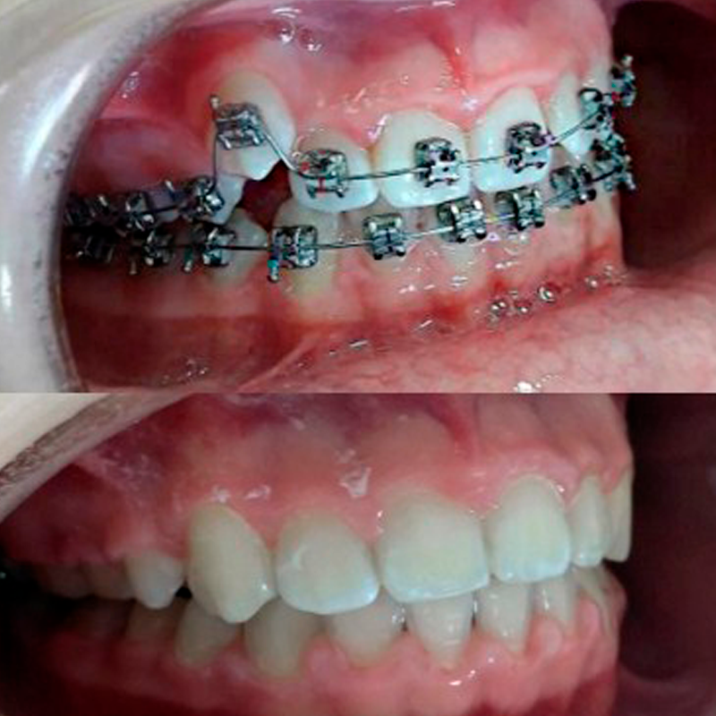
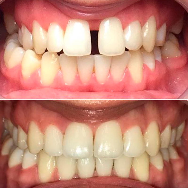
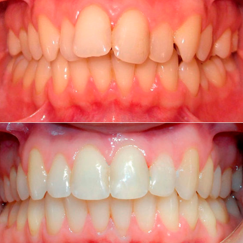
Примеры работ

Примеры работ